For a long time, the field of sexual surgery did not operate with the distinctions commonly used today. Intersex conditions, transsexualism, and other forms of sexual surgery were historically approached within the same medical and social continuum, often without clear conceptual separation.The distinctions that now structure public and activist debates are relatively recent. They emerged progressively, notably through the work of intersex rights organizations in the late 1990s, which brought greater visibility to the specific medical, ethical, and social challenges faced by intersex people. For this reason, this article deliberately follows a historical approach — surgical, social, and legal — reflecting how these issues were originally intertwined, before examining how and why clearer distinctions eventually emerged. The overlap between these topics is therefore not a confusion, but a reflection of historical practice.
Pendant longtemps, le domaine de la chirurgie sexuelle n’a pas fonctionné avec les distinctions couramment utilisées aujourd’hui. Les conditions intersexuées, le transsexualisme et d’autres formes de chirurgie sexuelle ont été historiquement abordés dans le même continuum médical et social, souvent sans séparation conceptuelle claire. Les distinctions qui structurent aujourd’hui les débats publics et militants sont relativement récentes. Elles ont émergé progressivement, notamment grâce au travail des organisations de défense des droits des personnes intersexuées à la fin des années 1990, qui ont mis en lumière les défis médicaux, éthiques et sociaux spécifiques auxquels sont confrontées les personnes intersexuées. C’est pourquoi cet article adopte délibérément une approche historique — chirurgicale, sociale et juridique — reflétant la manière dont ces questions étaient initialement liées, avant d’examiner comment et pourquoi des distinctions plus claires ont finalement émergé. Le chevauchement entre ces sujets n’est donc pas une confusion, mais le reflet d’une pratique historique.
Intersex surgery is a medical topic that discusses a lot of complex genital organs issues from ambiguous sexual identity to sex change. From the earliest attempts in the Byzantine Empire to modern debate over child sex changes, this small article is a summarization of this complex and sometimes heated topic; from historical, medical and social perspectives.
La chirurgie intersexe est un sujet médical qui aborde de nombreuses questions complexes liées aux organes génitaux, allant de l’identité sexuelle ambiguë au changement de sexe. Des premières tentatives dans l’Empire byzantin au débat moderne sur le changement de sexe chez les enfants, ce petit article résume ce sujet complexe et parfois controversé, d’un point de vue historique, médical et social.
Key reminders regarding Male and Female anatomy
Male and Female sexual identity is defined during embryo development. Genetical sex is defined during the fecundation between sperm and ovum. Ovum always carries an X chromosome. Sperm either transmit an Y chromosome (a boy) or an X chromosome (a girl). Then, between 6th and 12th weeks, SRY genes determine if sex organs are going to be testes or ovaries. If active: gonads become testes. In the other case, gonads become ovaries. Between the 8th and 12 weeks, sex hormones impact the development of the embryo: if testosterone is not active, the embryo is going to develop as a female. In the other case, as a male. Sex organs are differentiated around the 12th week.
L’identité sexuelle masculine et féminine est définie pendant le développement embryonnaire. Le sexe génétique est défini lors de la fécondation entre le spermatozoïde et l’ovule. L’ovule porte toujours le chromosome X. Le spermatozoïde transmet soit le chromosome Y (un garçon), soit le chromosome X (une fille). Ensuite, entre la 6e et la 12e semaine, les gènes SRY déterminent si les organes sexuels seront des testicules ou des ovaires. S’ils sont actifs, les gonades deviennent des testicules. Dans le cas contraire, les gonades deviennent des ovaires. Entre la 8e et la 12e semaine, les hormones sexuelles influencent le développement de l’embryon : si la testostérone n’est pas active, l’embryon se développera en tant que femme. Dans le cas contraire, il se développera en tant qu’homme. Les organes sexuels se différencient vers la 12e semaine.

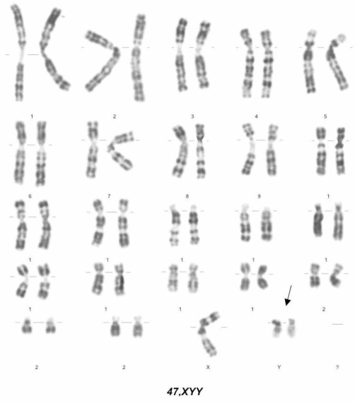
Sex organs issues occur from the fecundation to later stages. At the fecundation, Turner and Klinefelter Syndromes occur when chromosomes are of abnormal shapes or in abnormal numbers. Between the 6th and 7th weeks, poor hormone interactions can lead to “mixed-gonads”. Something that could occur till the 12th week, leading to ambiguous genital organs and/or urethra misplacement.
Les problèmes liés aux organes sexuels surviennent dès la fécondation et jusqu’aux stades ultérieurs. Lors de la fécondation, les syndromes de Turner et de Klinefelter apparaissent lorsque les chromosomes présentent des formes ou un nombre anormal. Entre la 6e et la 7e semaine, de mauvaises interactions hormonales peuvent entraîner des « gonades mixtes ». Ce phénomène peut se produire jusqu’à la 12e semaine, entraînant des organes génitaux ambigus et/ou un mauvais positionnement de l’urètre.
Medical conditions
Several conditions can affect the genital organs in both males and females. Many of them have nothing to do with sexual ambiguity. We can mention phimosis and paraphimosis for men — a condition where the prepuce can’t be normally retracted — or vaginism in women. Urethra malformation or misplacement is also common in men and women. The topic becomes more problematic when the genital organs are malformed or ambiguous. These conditions vary by gender. For male we generally found micropenis, abnormal small/big testes, severe hypospadias — wrong urethra placement — Androgen Insensitivity Syndrome with genitals similar to female ones… For females, we commonly found Congenital Adrenal Hyperplasia with genitals similar to male ones, Vaginal Agenesis with missing or extremely small reproductive organs inside the body, Turner Syndrome… Many of these conditions are caused by chromosome anomalies.
Plusieurs affections peuvent toucher les organes génitaux chez les hommes comme chez les femmes. La plupart d’entre elles n’ont rien à voir avec l’ambiguïté sexuelle. On peut citer le phimosis et le paraphimosis chez les hommes, une affection qui empêche le prépuce de se rétracter normalement, ou le vaginisme chez les femmes. Les malformations ou les malpositions de l’urètre sont également courantes chez les hommes et les femmes. Le sujet devient plus problématique lorsque les organes génitaux sont mal formés ou ambigus. Ces affections varient selon le sexe. Chez les hommes, on observe généralement des micropénis, des testicules anormalement petits ou gros, des hypospadias sévères (mauvais positionnement de l’urètre) et des syndromes d’insensibilité aux androgènes avec des organes génitaux similaires à ceux des femmes. Chez les femmes, on observe couramment une hyperplasie congénitale des surrénales avec des organes génitaux similaires à ceux des hommes, une agénésie vaginale avec absence ou taille extrêmement réduite des organes reproducteurs à l’intérieur du corps, le syndrome de Turner… Bon nombre de ces conditions sont causées par des anomalies chromosomiques.

Some of these conditions and surgeries were known in the past with outdated names like “hermaphrodite”, “sex reversal” or “intersexed”. The concerns for parents and surgeons are to decide whether the issue requires a corrective or a sex change surgery. For a long time, many of these surgeries were conducted at an early age without psychological support, and with few understandings of gender identity construction. A famous and ethically concerning case was David Reimer (1965–2004). Reassigned to a girl after a failed circumcision without proper support, he later decided to assume a male identity. His case is well-known because at the time, specialists believed in “gender plasticity”: the idea that gender was merely a socially constructed identity not tied to physical and genitalia characteristics. Something that proved definitively wrong in the Reimer case. By modern standard (WHO): such a surgery should only be conducted at an early age only if the condition is too problematic for children’s growth. In other cases, the surgery must be conducted later with proper counselling and support.
Certaines de ces conditions et interventions chirurgicales étaient connues dans le passé sous des noms désuets tels que « hermaphrodite », « changement de sexe » ou « intersexué ». Les parents et les chirurgiens doivent décider si le problème nécessite une intervention corrective ou un changement de sexe. Pendant longtemps, bon nombre de ces interventions ont été pratiquées à un âge précoce, sans soutien psychologique et avec une compréhension limitée de la construction de l’identité de genre. Le cas de David Reimer (1965–2004) est célèbre et soulève des questions éthiques. Assigné fille après une circoncision ratée et sans soutien approprié, il a ensuite décidé d’assumer une identité masculine. Son cas est bien connu car à l’époque, les spécialistes croyaient en la « plasticité du genre » : l’idée que le genre était simplement une identité construite socialement, sans lien avec les caractéristiques physiques et génitales. Une idée qui s’est avérée définitivement fausse dans le cas de Reimer. Selon les normes modernes (OMS), une telle opération ne devrait être pratiquée à un âge précoce que si la situation est trop problématique pour la croissance de l’enfant. Dans les autres cas, l’opération doit être pratiquée plus tard, avec un accompagnement et un soutien approprié.

David Reimer and gender identity
The case of David Reimer (born Bruce Reimer; August 22, 1965 – May 4, 2004) remains the most haunting cautionary tale in the history of psychosexual medicine. Born a healthy male, a botched circumcision at seven months led to the total loss of his penis. Under the guidance of psychologist John Money—who sought to prove that gender was a social construct (« nurture over nature »)—Reimer was surgically reassigned and raised as a girl named Brenda. Despite being told he was a girl from infancy, Reimer never identified with that role, experiencing profound distress until he discovered the truth at age 14 and transitioned back to male. His eventual suicide in 2004 underscored the devastating psychological toll of this clinical experiment. This tragic failure shattered the « optimal gender of rearing » model, which had long justified performing irreversible surgeries on intersex infants. Today, the WHO uses the Reimer case to argue that a child’s brain identity is not a blank slate, advocating for a moratorium on non-emergency cosmetic surgeries to protect bodily integrity.
L’affaire David Reimer (né Bruce Reimer ; 22 août 1965 – 4 mai 2004) demeure la mise en garde la plus hantante de l’histoire de la médecine psychosexuelle. Né garçon en bonne santé, une circoncision ratée à l’âge de sept mois entraîna la perte totale de son pénis. Sous la direction du psychologue John Money — qui cherchait à prouver que le genre était une construction purement sociale (l’acquis sur l’inné) — Reimer subit une réassignation chirurgicale et fut élevé comme une fille prénommée Brenda. Bien qu’on lui ait affirmé qu’il était une fille dès la petite enfance, il ne s’est jamais identifié à ce rôle, vivant une détresse profonde jusqu’à ce qu’il découvre la vérité à 14 ans et reprenne son identité masculine. Son suicide en 2004 a mis en lumière le coût psychologique dévastateur de cette expérimentation clinique. Cet échec tragique a brisé le modèle du « genre d’éducation optimal », qui avait longtemps servi à justifier les chirurgies irréversibles sur les nourrissons intersexes. Aujourd’hui, l’OMS s’appuie sur le cas Reimer pour affirmer que l’identité cérébrale d’un enfant n’est pas une page blanche, prônant un moratoire sur les chirurgies esthétiques non urgentes afin de protéger l’intégrité corporelle.
Brief historical overview
Historically, genital surgery and intersex conditions are well-known and documented. For example, the “Institutes of the Lawes of England” (1628–1644) discussed the case of “hermaphrodite” people inheritances. Early attempts to correct genital anomalies are recorded in Byzantine Empire archives, more especially in the “Seven Books of Paul Aegina” section LXIX and LXX quoted here:
SECT. LXIX. ON HERMAPHRODITES.
This affection derives its name from a combination of the names Hermes and Aphrodite (Mercury and Venus,) and occasions great deformity to both sexes. There being four varieties of it, according to Leonides ; three of them occur in men and one in women. In men, sometimes about the perineum and sometimes about the middle of the scrotum, there is the appearance of a female pudendum with hair; and in addition to these there is a third variety, in which the discharge of urine takes place at the scrotum as from a female pudendum. In women there is often found above the pudendum and in the situation of the pubes the appearance of a man’s privyparts, there being three bodies projecting there, one like a penis, and two like testicles. The third of the male varieties in which the urine is voided through the scrotum is incurable ; but the other three may be cured by removing the supernumerary bodies and treating the part like sores.
SECT. LXX. ON EXTIRPATION OF THE NYMPHA AND CAUDA
PUDENDI.
In certain women the nvmpha (clitoris ?) is excessively large and presents a shameful deformity, insomuch that, as has been related, some women have had erections of this part like men, and also venereal desires of a like kind. Wherefore, having placed the woman in a supine posture, and seizing the redundant portion of the nympha in a forceps we cut it out with a scalpel, taking care not to cut too deep lest we occasion the complaint called rhoeas. The cauda is a fleshy excrescence arising from the mouth of the womb, and filling the female pudendum, sometimes even projecting externally like a tail ; and it may be removed in the same manner as the nympha.
Historiquement, la chirurgie génitale et les conditions intersexuées sont bien connues et documentées. Par exemple, les « Institutes of the Lawes of England » (1628–1644) ont abordé le cas des héritages de personnes « hermaphrodites ». Les premières tentatives de correction des anomalies génitales sont consignées dans les archives de l’Empire byzantin, plus particulièrement dans les « Sept livres de Paul d’Égine », sections LXIX et LXX, citées ici :
SECTION LXIX. SUR LES HERMAPHRODITES.
Cette affection tire son nom d’une combinaison des noms Hermès et Aphrodite (Mercure et Vénus) et provoque une grande difformité chez les deux sexes. Selon Léonide, il en existe quatre variétés, dont trois chez les hommes et une chez les femmes. Chez les hommes, parfois au niveau du périnée et parfois au milieu du scrotum, on observe l’apparition d’un organe génital féminin avec des poils ; à cela s’ajoute une troisième variété, dans laquelle l’urine est évacuée au niveau du scrotum, comme chez les femmes. Chez les femmes, on observe souvent au-dessus du pudendum et au niveau du pubis l’apparition d’organes génitaux masculins, avec trois corps saillants, l’un ressemblant à un pénis et les deux autres à des testicules. La troisième des variétés masculines, dans laquelle l’urine est évacuée par le scrotum, est incurable ; mais les trois autres peuvent être guéries en retirant les corps surnuméraires et en traitant la partie comme des plaies.
SECTION LXX. SUR L’EXTIRPATION DE LA NYMPHA ET DE LA CAUDA
PUDENDI.
Chez certaines femmes, la nvmpha (clitoris ?) est excessivement grande et présente une difformité honteuse, à tel point que, comme cela a été rapporté, certaines femmes ont eu des érections de cette partie comme les hommes, ainsi que des désirs vénéreiens du même genre. C’est pourquoi, après avoir placé la femme en position couchée sur le dos et saisi la partie excédentaire de la nymphe à l’aide d’une pince, nous l’avons coupée au scalpel, en prenant soin de ne pas couper trop profondément afin de ne pas provoquer la maladie appelée rhoeas. La cauda est une excroissance charnue qui part de l’ouverture de l’utérus et remplit le pudendum féminin, parfois même en dépassant à l’extérieur comme une queue ; elle peut être retirée de la même manière que la nymphe.
An 1700s medical record in England describes a female-to-male sex reassignment surgery on a young child.
Un écrit médical datant des années 1700 en Angleterre décrit une opération de changement de sexe d’une femme à un homme sur un jeune enfant.

Major progress was made with the medicalization of the intersex topic and scientific progress. The two most famous cases in the 1930s were Dora Richter (1892–1966) and Lili Elbe (1882–1931). While both women were by modern standard “transsexuals”, the fact remains that in both cases progress was made in the field of sexual surgery.
Des progrès importants ont été réalisés dans la médicalisation du sujet de l’intersexualité et dans les avancées scientifiques. Les deux cas les plus célèbres des années 1930 sont ceux de Dora Richter (1892–1966) et Lili Elbe (1882–1931). Bien que ces deux femmes aient été, selon les normes modernes, des « transsexuelles », il n’en reste pas moins que dans les deux cas, des progrès ont été réalisés dans le domaine de la chirurgie sexuelle.

Both were male-to-female surgery, and both were German born people. The country was ahead of its time on this topic with the Institut für Sexualwissenschaft (Institute for Sexual Science) founded by Magnus Hirschfeld (1868–1935): a physician, a sexologist and early advocate for LGBTQ+ rights.
Les deux opérations étaient des chirurgies de changement de sexe masculin à féminin, et les deux personnes étaient nées en Allemagne. Le pays était en avance sur son temps dans ce domaine grâce à l’Institut für Sexualwissenschaft (Institut de sexologie) fondé par Magnus Hirschfeld (1868–1935), médecin, sexologue et défenseur précoce des droits des personnes LGBTQ+.

The topic regained social attention as a curiosity in the 1950s-1960s with several exploitation movies, especially in the United States. These movies with very small budgets were part of the “exploitation” culture — movies that seeks quick success by capitalizing on trend, shock, niche or sensational genres. As for Dora Richet and Lili Elbe, these movies were tied to transsexualism and not directly to intersexuality—but as explained before, the topic of sexual surgery and sex identity was entering the public space, even if it was through shock movies.
Le sujet a retrouvé l’attention du public dans les années 1950–1960 grâce à plusieurs films d’exploitation, notamment aux États-Unis. Ces films à très petit budget s’inscrivent dans la culture « exploitation », qui consiste à capitaliser sur les tendances, le choc, les niches ou les genres sensationnels pour obtenir un succès rapide. Quant à Dora Richet et Lili Elbe, ces films étaient liés à la transsexualité et non directement à l’intersexualité, mais comme expliqué précédemment, le thème de la chirurgie sexuelle et de l’identité sexuelle faisait son entrée dans l’espace public, même si c’était à travers des films choquants.

Three of them could be considered as representatives of this cinematic subculture of the 1950s-1960s:
- Queens at Heart (1967): a 22-minute movie about four trans women in New-York
- Glen or Glenda (1953): an Ed Wood’s movie about transvestism and cross-dressing
- I was a Man (1967): a 77 minutes docu-drama about a trans woman travelling to Finland to undergo sex-change surgery
Trois d’entre eux peuvent être considérés comme représentatifs de cette sous-culture cinématographique des années 1950–1960 :
- Queens at Heart (1967) : un film de 22 minutes sur quatre femmes transgenres à New Yory
- Glen or Glenda (1953) : un film d’Ed Wood sur le travestisme et le cross-dressing
- I was a Man (1967) : un docu-fiction de 77 minutes sur une femme transgenre qui se rend en Finlande pour subir une opération de changement de sexe
These were “shock” movies on a deeply taboo subject at the time. Progressively, the taboo surrounding intersex progressively diminished in society, while noting that the topic remains largely confidential. In more recent years, several advances were made toward intersex people: especially regarding civic rights — notably the possibility to update their civil register gender. While these changes are important, it’s worth noting that some controversial ideas can go as far as what was done in the past when not enough care was used to protect people undergoing such surgery. On this topic, I strongly disagree with people who are willing to allow sex reassignment surgery for children.
Il s’agissait de films « choc » sur un sujet profondément tabou à l’époque. Progressivement, le tabou entourant l’intersexualité s’est atténué dans la société, même si le sujet reste largement confidentiel. Ces dernières années, plusieurs avancées ont été réalisées en faveur des personnes intersexuées, notamment en matière de droits civiques, avec la possibilité de modifier leur sexe sur l’état civil. Si ces changements sont importants, il convient de noter que certaines idées controversées peuvent aller aussi loin que ce qui a été fait dans le passé, lorsque l’on ne prenait pas suffisamment soin de protéger les personnes subissant ce type d’opération. Sur ce sujet, je suis en total désaccord avec les personnes qui sont prêtes à autoriser la chirurgie de changement de sexe pour les enfants.

90s and the intersex rights movement
The topic of intersexuality entered the public space in the 90s with the creation of several organisations to represent and defend the rights of the intersex people. Until 1993 — the year the ISNA or Intersex Society of North America was founded — the public was largely unaware of the challenges of these invisible people : socially and medically. Until the 1990s and probably even the later 90s, the topic was largely mixed or misunderstood by the public as akin to transsexualism. With the foundation of the ISNA and subsequent organizations : the intersex gained the rights to publicly speak about their conditions and struggles. The public discovered what it meant for these people — born with genital anomalies or malformations — when testimonies from intersex people sparked debates about child consent of sexual surgery and a clear public health services program for their follow-up as children and as adults.
Le sujet de l’intersexualité a fait son apparition dans l’espace public dans les années 90 avec la création de plusieurs organisations visant à représenter et à défendre les droits des personnes intersexuées. Jusqu’en 1993, année de la fondation de l’ISNA (Intersex Society of North America), le grand public ignorait largement les difficultés auxquelles étaient confrontées ces personnes invisibles, tant sur le plan social que médical. Jusqu’aux années 90, et probablement même jusqu’à la fin des années 90, le sujet était largement confondu ou mal compris par le grand public, qu’il assimilait au transsexualisme. Avec la création de l’ISNA et d’autres organisations par la suite, les personnes intersexuées ont obtenu le droit de parler publiquement de leur condition et de leurs difficultés. Le grand public a découvert ce que cela signifiait pour ces personnes — nées avec des anomalies ou des malformations génitales — lorsque les témoignages d’intersexués ont suscité des débats sur le consentement des enfants à la chirurgie sexuelle et sur un programme clair de services de santé publique pour leur suivi pendant l’enfance et à l’âge adulte.

This movement occurred with the rise of the internet in the late 90s — and the subsequent flourishment of many now defunct websites dedicated to the intersex people — and the David Reimer case. In 1997, the latter gained worldwide attention and sparked critics. The topic of child sexual surgery entered the public debates, and critics were raised about past practices like what is called “sexual identity plasticity” — the idea that gender identity is malleable.
Ce mouvement est apparu avec l’essor d’Internet à la fin des années 90, suivi par l’éclosion de nombreux sites web aujourd’hui disparus consacrés aux personnes intersexuées, et par l’affaire David Reimer. En 1997, cette dernière a attiré l’attention du monde entier et suscité de nombreuses critiques. Le sujet de la chirurgie sexuelle infantile a fait son entrée dans les débats publics, et des critiques ont été formulées à l’encontre de pratiques passées telles que la « plasticité de l’identité sexuelle », l’idée selon laquelle l’identité de genre est malléable.

INTERSEX and the Chicago consensus
The 2006 Chicago Consensus fundamentally reshaped the clinical landscape by introducing the term Disorders of Sex Development (DSD), yet it also created a complex « gray area » regarding what constitutes intersexuality. While individuals who are intersex stricto sensu possess chromosomal or hormonal variations—such as AIS or XXY—that defy binary biological definitions, the DSD classification also encompasses severe anatomical malformations like cloacal exstrophy. In many such cases, the child’s genetic sex and gonads are perfectly typical, but the external anatomy is so disrupted that they are subjected to the same surgical « normalization » protocols as intersex infants. This inclusion is highly controversial: critics argue that labeling a birth defect as a « disorder of sex » unnecessarily pathologizes the individual’s identity, often leading doctors to prioritize aesthetic « gender-matching » over the preservation of healthy, albeit atypical, tissue. This blurring of lines between biological variation and anatomical malformation remains a central tension in the fight for bodily autonomy.
Le Consensus de Chicago de 2006 a profondément remodelé le paysage clinique en introduisant le terme de Troubles du Développement du Sexe (TDS), tout en créant une « zone grise » complexe sur ce qui définit réellement l’intersexualité. Alors que les individus intersexes stricto sensu présentent des variations chromosomiques ou hormonales — comme le SIA ou le syndrome XXY — qui défient les définitions biologiques binaires, la classification TDS englobe également des malformations anatomiques graves comme l’exstrophie cloacale. Dans de nombreux cas, le sexe génétique et les gonades de l’enfant sont parfaitement typiques, mais l’anatomie externe est si perturbée qu’ils sont soumis aux mêmes protocoles de « normalisation » chirurgicale que les nourrissons intersexes. Cette inclusion est très controversée : les critiques soutiennent que qualifier une malformation congénitale de « trouble du sexe » pathologise inutilement l’identité de l’individu, poussant souvent les médecins à privilégier une « mise en conformité » esthétique au détriment de la préservation de tissus sains, bien qu’atypiques. Ce flou entre variation biologique et malformation anatomique demeure une tension centrale dans la lutte pour l’intégrité corporelle.
Cloacal exstrophy : an ethical dilemma
Cloacal exstrophy stands as the prototypical medical dilemma in the care of intersex children because it inextricably links life-saving necessity with elective « normalization. » Unlike many other intersex variations where the child is otherwise healthy, this condition requires immediate, complex surgery to close the abdominal wall and manage exposed organs. Historically, surgeons took advantage of these mandatory interventions to perform « gender-optimizing » surgeries, often assigning XY (genetically male) infants as female due to the ease of creating a functional vestibule over a phallus. This approach, however, is now under severe scrutiny by the World Health Organization (WHO) and the United Nations. Current WHO frameworks and UN human rights mandates increasingly classify non-consensual, non-urgent genital « corrections » as violations of bodily integrity and even as forms of « medicalized mutilation. » The recommendation today is a staged approach: perform the vital abdominal and urological repairs to ensure survival, but defer irreversible genital reconstruction until the individual is old enough to provide informed consent. This shift acknowledges that while the surgeon can repair the body, they cannot predict the « brain sex » or innate identity of the child.
L’exstrophie cloacale constitue le cas d’école du dilemme médicalface à l’intersexuation, car elle entremêle de manière indissociable l’urgence vitale et la chirurgie de « normalisation » élective. Contrairement à d’autres variations intersexes où l’enfant est en parfaite santé physique, cette pathologie impose des interventions immédiates pour refermer la paroi abdominale et protéger les organes exposés. Historiquement, le corps médical profitait de ces opérations vitales pour pratiquer une assignation de genre chirurgicale, transformant souvent des garçons XY en filles par « commodité » reconstructrice. Aujourd’hui, cette pratique est fermement remise en question par les recommandations de l’OMSet les instances de l’ONU. Les cadres actuels de l’OMS et les mandats des droits de l’homme classent désormais les « corrections » génitales non urgentes et non consenties comme des atteintes à l’intégrité corporelle, voire comme des mutilations médicalisées. La préconisation moderne repose sur une stratégie par étapes: réaliser les réparations abdominales et urologiques nécessaires à la survie, tout en différant toute reconstruction génitale irréversible jusqu’à ce que la personne soit en âge d’exprimer son consentement éclairé. Ce changement de paradigme reconnaît une vérité cruciale : si le chirurgien peut reconstruire un corps, il ne peut en aucun cas prédire l’identité de genre innée de l’enfant.
Surgeries and alternatives
Several operations exist now to treat cases of medical issues with male/female genital organs. The most common for male and female are the circumcision for male — especially for phimosis and paraphimosis — and clitoroplasty for female — reduction or repositioning of the clitoris. These surgeries are known from ancient times — circumcision is mentioned in the Hebrew Bible. Here are tables (in english and french) with the most common surgeries, reasons, procedure and frequency (click on the image to zoom in).
Il existe aujourd’hui plusieurs opérations pour traiter les problèmes médicaux liés aux organes génitaux masculins/féminins. Les plus courantes chez les hommes et les femmes sont la circoncision chez les hommes, en particulier pour le phimosis et le paraphimosis, et la clitoroplastie chez les femmes, qui consiste à réduire ou à repositionner le clitoris. Ces interventions chirurgicales sont connues depuis l’Antiquité : la circoncision est mentionnée dans la Bible hébraïque. Voici deux tableaux (en anglais et en français) présentant les interventions chirurgicales les plus courantes, leurs raisons, leur procédure et leur fréquence (cliquez sur l’image pour l’agrandir).


For least severe cases involving few physical issues — like abnormal breasts development for boys or pilosity for girls — medications are used like testosterone treatment or “puberty blockers”. The most complex surgeries involve the reconstruction or transformation of the genital organs. They are complex and costly.
Pour les cas les moins graves impliquant peu de problèmes physiques, comme un développement anormal des seins chez les garçons ou une pilosité excessive chez les filles, on utilise des médicaments tels que la testostérone ou des « bloqueurs de puberté ». Les interventions chirurgicales les plus complexes impliquent la reconstruction ou la transformation des organes génitaux. Elles sont complexes et coûteuses.
Two personal words before concluding
Before concluding, a few personal words. On a personal level, I have long known that the body and sexuality are not abstract medical topics, but lived experiences — sometimes involving pain and loneliness. Four encounters have taught me how fragile the body truly is. The first was my own: a phimosis that I learned to ease without surgery, through patience and the curiosity to understand myself. The second was that of a friend suffering from a misaligned urethra — a discomfort he carried in silence until he confided in me. The third was a woman suffering from vaginismus, who opened up about it during a private conversation, much like that other, younger friend. The fourth was a meeting with a trans woman, whose sincerity reminded me that our bodies often tell truths far more complex than appearances. Since then, I have stopped judging bodies. I simply try to listen to them.
À titre personnel, j’ai compris depuis longtemps que le corps et la sexualité ne sont pas des sujets médicaux abstraits, mais des expériences vécues — parfois marquées par la douleur et la solitude. Quatre rencontres m’ont fait mesurer combien le corps est un territoire fragile. La première fut la mienne : un phimosis que j’ai appris à apaiser sans bistouri, par patience et par curiosité de comprendre mon propre corps. La deuxième, celle d’un ami, affecté par un mauvais positionnement de l’urètre — une gêne qu’il portait en silence jusqu’au jour où il s’en ouvrit à moi. La troisième, une femme souffrant de vaginisme, qui s’en était ouverte lors d’une discussion privée, comme cet autre ami plus jeune. La quatrième, une femme trans dont la sincérité m’a rappelé que nos corps racontent souvent des vérités plus complexes que les apparences. Depuis, j’ai cessé de juger les corps. J’essaie simplement de les écouter.
Conclusions
The intersex topic is now better accepted and debated in the society, but several concerns remain over sex organs anomalies and sex change. While major progress was made with innovation in surgery, the key issue is to know when and how to deal with the physical sexual identity of any individual. A difficult balance between health concerns, ethics, psychological needs and the need for society to set proper boundaries on this sensitive topic.
Le sujet de l’intersexualité est désormais mieux accepté et débattu dans la société, mais plusieurs préoccupations subsistent concernant les anomalies des organes sexuels et le changement de sexe. Si des progrès majeurs ont été réalisés grâce aux innovations en matière de chirurgie, la question clé est de savoir quand et comment traiter l’identité sexuelle physique de chaque individu. Il s’agit de trouver un équilibre difficile entre les préoccupations sanitaires, l’éthique, les besoins psychologiques et la nécessité pour la société de fixer des limites appropriées sur ce sujet sensible.
Les cadres théoriques mobilisés incluent la psychanalyse classique (Sigmund Freud), les analyses critiques de la sexualité et du pouvoir (Michel Foucault), la théorie du genre (Simone de Beauvoir), la sociologie de la stigmatisation (Erving Goffman), ainsi que les études empiriques fondatrices sur les comportements sexuels (rapports Kinsey). Les sources publiques et institutionnelles comprennent les cadres de l’Organisation mondiale de la santé (OMS) en santé sexuelle et reproductive, grossesse et accouchement, les recommandations de l’UNESCO sur l’éducation complète à la sexualité, les rapports de l’UNFPA sur les droits reproductifs, les textes du Conseil de l’Europe sur l’intégrité corporelle et le consentement, ainsi que les lignes directrices cliniques internationales sur l’intersexuation/DSD (Consensus de Chicago, ESPE), les troubles sexuels (EAU, ISSM, DSM-5-TR), et l’obstétrique et la néonatologie (FIGO).
- Sigmund Freud — Three Essays on the Theory of Sexuality; Civilization and Its Discontents
- Michel Foucault — Histoire de la sexualité, vol. I; Surveiller et punir
- Simone de Beauvoir — Le Deuxième Sexe
- Erving Goffman — Stigma: Notes on the Management of Spoiled Identity
- Alfred C. Kinsey et al. — Sexual Behavior in the Human Male / Female
- World Health Organization (WHO) — Defining Sexual Health; Sexual and Reproductive Health and Rights Framework; Recommendations on Antenatal and Intrapartum Care
- UNESCO — International Technical Guidance on Sexuality Education
- UNFPA — State of World Population Reports; My Body Is My Own
- Council of Europe — Human Rights and Intersex People
- Chicago Consensus Group — Consensus Statement on Management of Intersex Disorders
- European Society for Paediatric Endocrinology (ESPE) — Clinical Guidelines for DSD
- European Association of Urology (EAU) — Guidelines on Sexual and Reproductive Health
- International Society for Sexual Medicine (ISSM) — Clinical Practice Guidelines
- American Psychiatric Association — DSM-5-TR: Sexual Dysfunctions
- International Federation of Gynecology and Obstetrics (FIGO) — Guidelines on Pregnancy, Childbirth and Neonatal Care

Laisser un commentaire