In this article, I’m going to discuss the whole caring system put in place to protect life and ensure that babies and women can go safe through all stages of pregnancy : from history to medical procedures. My goal is to remind the massive efforts produced in the fields of obstetrics and neonatal to sustain life, and to remind of the enormous efforts required to sustain it.
Dans cet article, je vais aborder l’ensemble du système de soins mis en place pour protéger la vie et garantir que les bébés et les femmes puissent traverser toutes les étapes de la grossesse en toute sécurité : de l’histoire aux procédures médicales. Mon objectif est de rappeler les efforts considérables déployés dans les domaines de l’obstétrique et de la néonatologie pour préserver la vie, et de rappeler les efforts énormes nécessaires pour la préserver.

- Historical overview
- Reminder of the biological cycle
- Fetal development
- Tools and instruments
- Complications during pregnancy and childbirth
- Labor
- Neonatology
- Life goes on
- Conclusions
Historical overview
Pregnancy and obstetrics — even if not formalized as medical discipline — exists since the beginning of Humanity. It was not until the 18th and 19th century that obstetrics was recognized as a medical discipline. Because hospitals were non-existent, the pregnancy, labor and delivery occurred mainly at home. Because of the complete lack of medication and modern sanitation too; there was high-rate of both maternal and infant mortality.
La grossesse et l’obstétrique, même si elles ne sont pas formalisées en tant que discipline médicale, existent depuis les débuts de l’humanité. Ce n’est qu’au XVIIIe et XIXe siècle que l’obstétrique a été reconnue comme une discipline médicale. Les hôpitaux n’existant pas, la grossesse, le travail et l’accouchement se déroulaient principalement à domicile. En raison de l’absence totale de médicaments et d’installations sanitaires modernes, les taux de mortalité maternelle et infantile étaient élevés.
Before the 18th and 19th centuries, childbirth was almost entirely based on traditional, female, and empirical practices, passed down orally from one generation to the next. In Antiquity, authors such as Hippocrates and especially Soranus of Ephesus already described certain obstetrical techniques: upright positions (standing, squatting, or using a birthing chair), abdominal massage, manual support of the perineum, and verbal encouragement. Midwives closely observed the progress of labor, helped rotate the fetus using external maneuvers, and applied oils or ointments to ease delivery. Childbirth was seen as a natural event, rarely medicalized, in which practical experience was more important than theoretical knowledge.
Avant les XVIIIe et XIXe siècles, l’accouchement reposait presque entièrement sur des pratiques traditionnelles, féminines et empiriques, transmises oralement de génération en génération. Dans l’Antiquité, des auteurs tels qu’Hippocrate et surtout Soranus d’Éphèse décrivaient déjà certaines techniques obstétricales : positions verticales (debout, accroupie ou sur une chaise d’accouchement), massage abdominal, soutien manuel du périnée et encouragements verbaux. Les sages-femmes observaient attentivement le déroulement du travail, aidaient à faire pivoter le fœtus à l’aide de manœuvres externes et appliquaient des huiles ou des pommades pour faciliter l’accouchement. L’accouchement était considéré comme un événement naturel, rarement médicalisé, dans lequel l’expérience pratique était plus importante que les connaissances théoriques.

During the Middle Ages and the Renaissance, these practices changed very little. Midwives remained the main caregivers, often under the supervision of the Church or local authorities. In cases of severe complications, they might resort to extreme measures such as manual version (changing the position of the fetus) or fetal destruction (embryotomy) in order to save the mother, since no safe surgical alternatives existed. Caesarean sections were extremely rare and almost always performed post mortem. Instruments were few and rudimentary, and the total absence of antiseptic measures made any intervention highly dangerous. Religious and symbolic dimensions were strong: prayers, relics, amulets, and rituals frequently accompanied childbirth. Thus, before the 18th century, obstetrics relied mainly on observation, experience, and human support, with very limited technical means but considerable practical knowledge of the female body.
Au Moyen Âge et à la Renaissance, ces pratiques évoluent peu. Les sages-femmes demeurent les principales actrices, souvent surveillées par l’Église ou les autorités locales. En cas de complications graves, elles peuvent recourir à des gestes extrêmes comme la version manuelle (changer la position du fœtus) ou la destruction fœtale (embryotomie) pour sauver la mère, faute d’alternative chirurgicale sûre. La césarienne est exceptionnellement pratiquée, presque toujours post-mortem. Les instruments sont rares, rudimentaires, et l’absence totale d’asepsie rend toute intervention dangereuse. Les dimensions religieuses et symboliques sont fortes : prières, reliques, amulettes et rituels accompagnent fréquemment l’accouchement. Ainsi, avant le XVIIIᵉ siècle, l’obstétrique repose surtout sur l’observation, l’expérience et le soutien humain, avec peu de moyens techniques mais une grande connaissance pratique du corps féminin.
In the 18th and 19th centuries, childbirth was largely based on empirical knowledge passed down by midwives, and then gradually became medicalized with the rise of scholarly obstetrics. In the 18th century, most births took place at home and were assisted by midwives who relied on traditional techniques: upright positions (birthing chair, squatting), massage, verbal encouragement, and sometimes manual maneuvers to correct the position of the fetus. Male intervention remained uncommon but began to develop with figures such as William Smellie, who formalized the teaching of obstetrics and promoted the use of forceps (invented in the 17th century by the Chamberlen family but long kept secret). These instruments made it possible to extract the baby in cases of difficult labor, but their use remained risky due to the lack of aseptic practices.
Aux XVIIIᵉ et XIXᵉ siècles, l’accouchement repose surtout sur un savoir empirique transmis par les sages-femmes, puis progressivement médicalisé avec l’essor de l’obstétrique savante. Au XVIIIᵉ siècle, la majorité des naissances ont lieu à domicile, assistées par des sages-femmes qui utilisent des techniques traditionnelles : positions verticales (chaise d’accouchement, accroupie), massages, encouragements, et parfois manœuvres manuelles pour corriger la position du fœtus. L’intervention masculine reste rare mais se développe avec des figures comme William Smellie, qui formalise l’enseignement de l’obstétrique et diffuse l’usage des forceps (déjà inventés au XVIIᵉ siècle par la famille Chamberlen, mais longtemps tenus secrets). Ces instruments permettent d’extraire le bébé en cas de travail difficile, mais leur usage reste risqué faute d’asepsie.

In the 19th century, obstetrics became more scientific and hospital-based. Births in maternity wards increased, particularly in major European hospitals, and physicians took on a growing role. Techniques included more frequent use of forceps, manual version (turning the fetus within the uterus), and, in extreme cases, major interventions such as embryotomy to save the mother when the fetus could not be delivered alive. Anesthesia appeared in the middle of the century (ether, chloroform), improving comfort but introducing new risks. Before the widespread adoption of hygiene rules advocated by Ignaz Semmelweis, puerperal infections caused high maternal mortality. Thus, these centuries marked a major transition — from traditional, experience-based practices to a medicalized form of obstetrics that was more effective yet still dangerous.
Au XIXᵉ siècle, l’obstétrique devient plus scientifique et hospitalière. Les accouchements en maternité se multiplient, notamment dans de grands hôpitaux européens, et les médecins prennent une place croissante. Les techniques incluent l’usage plus fréquent des forceps, la version manuelle (retourner le fœtus dans l’utérus), et, en cas extrême, des interventions lourdes comme l’embryotomie pour sauver la mère lorsque le fœtus ne peut être extrait vivant. L’anesthésie apparaît au milieu du siècle (éther, chloroforme), améliorant le confort mais introduisant de nouveaux risques. Avant la généralisation des règles d’hygiène défendues par Ignace Semmelweis, les infections puerpérales causent une mortalité maternelle élevée. Ainsi, ces siècles marquent une transition majeure : de pratiques traditionnelles centrées sur l’expérience à une obstétrique médicalisée, plus efficace mais encore dangereuse.

After the 19th century, obstetrics underwent a major transformation driven by scientific and medical advances in the 20th century. Aseptic and antiseptic practices became standard, drastically reducing infections and maternal and neonatal mortality. Childbirth increasingly took place in hospitals under the supervision of trained physicians and midwives. New techniques were introduced, including systematic monitoring of labor, fetal heart rate surveillance, improved management of hemorrhage, and the wider use of cesarean section as a safer surgical option when vaginal delivery posed significant risks.
Après le XIXᵉ siècle, l’obstétrique connaît une transformation majeure grâce aux progrès scientifiques et médicaux du XXᵉ siècle. Les règles d’asepsie et d’antisepsie deviennent systématiques, ce qui réduit drastiquement les infections et la mortalité maternelle et néonatale. L’accouchement se déroule de plus en plus à l’hôpital, sous la surveillance de médecins et de sages-femmes formés. De nouvelles techniques apparaissent : surveillance du travail, contrôle du rythme cardiaque fœtal, meilleure gestion des hémorragies et généralisation de la césarienne comme intervention chirurgicale plus sûre lorsque l’accouchement par voie basse présente un danger.

In the second half of the 20th century and the early 21st century, obstetrics began to balance medical safety with respect for natural physiology. Epidural analgesia became widespread, greatly improving pain management during labor, while ultrasound and prenatal screening made it possible to closely monitor fetal development before birth. At the same time, movements promoting more natural childbirth emerged, emphasizing midwife-led care, birthing centers, freedom of movement and position, and greater involvement of parents. Thus, after the 19th century, obstetrics evolved into a highly safe medical practice while striving to preserve a more humane and individualized experience of birth.
Au cours de la seconde moitié du XXᵉ siècle et au début du XXIᵉ siècle, l’obstétrique cherche à concilier sécurité médicale et respect de la physiologie. L’analgésie péridurale se diffuse largement, améliorant la prise en charge de la douleur, tandis que l’échographie et les examens prénataux permettent de suivre le développement du fœtus avant la naissance. Parallèlement, des mouvements en faveur d’un accouchement plus naturel émergent : maisons de naissance, accompagnement global par les sages-femmes, liberté de position et place accrue des parents. Ainsi, après le XIXᵉ siècle, l’obstétrique évolue vers une pratique hautement sécurisée, tout en cherchant à redonner une dimension humaine et personnalisée à la naissance.
Reminder of the biological cycle
Fetal development begins with fertilization, when a sperm cell meets an egg to form a zygote. This single cell rapidly divides and becomes an embryo, which implants in the uterus about one week later. During the first trimester (weeks 1–12), the embryo develops into a fetus: major organs such as the heart, brain, and spinal cord begin to form, and the basic body structure is established. This is a critical period, as the foundations for all organs and systems are laid.
Le développement du fœtus commence par la fécondation, lorsqu’un spermatozoïde rencontre un ovule pour former un zygote. Cette cellule unique se divise rapidement et devient un embryon, qui s’implante dans l’utérus environ une semaine plus tard. Au cours du premier trimestre (semaines 1 à 12), l’embryon devient un fœtus : les principaux organes comme le cœur, le cerveau et la moelle épinière commencent à se former, et la structure générale du corps se met en place. Cette période est essentielle, car elle pose les bases de tous les systèmes du corps.

During the second and third trimesters (weeks 13–40), the fetus mainly grows and matures. Organs continue to develop and start functioning more effectively, bones harden, muscles strengthen, and senses such as hearing and sight begin to develop. In the final weeks, the fetus gains weight, the lungs mature, and the body prepares for life outside the uterus. At around 40 weeks, the fetus is considered fully developed and ready for birth.
Pendant le deuxième et le troisième trimestres (semaines 13 à 40), le fœtus se concentre surtout sur la croissance et la maturation. Les organes se développent davantage et commencent à fonctionner, les os se solidifient, les muscles se renforcent et les sens comme l’ouïe et la vue apparaissent progressivement. Dans les dernières semaines, le fœtus prend du poids, les poumons arrivent à maturité et le corps se prépare à la vie en dehors de l’utérus. Vers 40 semaines, le fœtus est considéré comme prêt pour la naissance.
Fetal development
Male and Female sexual identity is defined during embryo development. Genetical sex is defined during the fecundation between sperm and ovum. Ovum always carries an X chromosome. Sperm either transmit an Y chromosome (a boy) or an X chromosome (a girl). Then, between 6th and 12th weeks, SRY genes determine if sex organs are going to be tested or ovaries. If active: gonads become testes. In the other case, gonads become ovaries. Between the 8th and 12 weeks, sex hormones impact the development of the embryo: if testosterone is not active, the embryo is going to develop as a female. In the other case, as a male. Sex organs are differentiated around the 12th week.
L’identité sexuelle masculine et féminine est définie pendant le développement embryonnaire. Le sexe génétique est défini lors de la fécondation entre le spermatozoïde et l’ovule. L’ovule porte toujours le chromosome X. Le spermatozoïde transmet soit le chromosome Y (un garçon), soit le chromosome X (une fille). Ensuite, entre la 6e et la 12e semaine, les gènes SRY déterminent si les organes sexuels seront des testicules ou des ovaires. S’ils sont actifs, les gonades deviennent des testicules. Dans le cas contraire, les gonades deviennent des ovaires. Entre la 8e et la 12e semaine, les hormones sexuelles influencent le développement de l’embryon : si la testostérone n’est pas active, l’embryon se développera en tant que femme. Dans le cas contraire, il se développera en tant qu’homme. Les organes sexuels se différencient vers la 12e semaine.

Fetal development is a continuous and highly regulated process that begins at fertilization and unfolds over approximately forty weeks. After implantation, the embryo rapidly differentiates, forming the major organs and systems during the first trimester, a period that is particularly sensitive to genetic and environmental factors. During the second trimester, growth accelerates, organs mature, and movements become perceptible to the mother. In the third trimester, the fetus focuses mainly on weight gain, neurological maturation, and lung development, preparing for life outside the uterus. Throughout pregnancy, the placenta plays a central role by ensuring oxygen exchange, nutrient supply, and protection, allowing the fetus to grow in a stable and supportive environment.
Le développement du fœtus est un processus continu et finement régulé qui débute dès la fécondation et s’étend sur environ quarante semaines. Après l’implantation, l’embryon se différencie rapidement, avec la mise en place des principaux organes et systèmes au cours du premier trimestre, une période particulièrement sensible aux facteurs génétiques et environnementaux. Le deuxième trimestre est marqué par une croissance soutenue, la maturation des organes et l’apparition de mouvements perceptibles par la mère. Au troisième trimestre, le fœtus se concentre surtout sur la prise de poids, la maturation neurologique et le développement pulmonaire, en vue de la vie extra-utérine. Tout au long de la grossesse, le placenta joue un rôle essentiel en assurant les échanges d’oxygène, l’apport de nutriments et une protection relative, permettant un développement harmonieux.

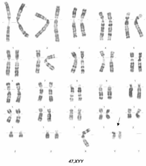
Sex organs issues occur from the fecundation to later stages. At the fecundation, Turner and Klinefelter Syndromes occur when chromosomes are of abnormal shapes or in abnormal numbers. Between the 6th and 7th weeks, poor hormone interactions can lead to “mixed-gonads”. Something that could occur till the 12th week, leading to ambiguous genital organs and/or urethra misplacement.
Les problèmes liés aux organes sexuels surviennent dès la fécondation et jusqu’aux stades ultérieurs. Lors de la fécondation, les syndromes de Turner et de Klinefelter apparaissent lorsque les chromosomes présentent des formes ou un nombre anormal. Entre la 6e et la 7e semaine, de mauvaises interactions hormonales peuvent entraîner des « gonades mixtes ». Ce phénomène peut se produire jusqu’à la 12e semaine, entraînant des organes génitaux ambigus et/ou un mauvais positionnement de l’urètre.
Tools and instruments
Major instruments and tools have shaped obstetrics over time. One of the earliest was the obstetric forceps, developed in the early 17th century (around 1630) by the Chamberlen family, allowing assisted vaginal delivery. The stethoscope, invented in 1816 by René Laennec, was later adapted for fetal heart monitoring in the 19th century. In the 20th century, technological advances transformed pregnancy care: ultrasound imaging was introduced into obstetrics in the 1950s, revolutionizing prenatal diagnosis, while electronic fetal heart monitoring became widespread in the 1960s–1970s. Surgical tools also evolved, making the cesarean section far safer than in earlier centuries.
Les principaux instruments et outils ont profondément marqué l’histoire de l’obstétrique. L’un des plus anciens est le forceps obstétrical, mis au point au début du XVIIᵉ siècle (vers 1630) par la famille Chamberlen, permettant d’assister l’extraction du bébé. Le stéthoscope, inventé en 1816 par René Laennec, est ensuite utilisé pour écouter le cœur fœtal au XIXᵉ siècle. Au XXᵉ siècle, les progrès techniques transforment le suivi de la grossesse : l’échographie obstétricale, introduite dans les années 1950, révolutionne le diagnostic prénatal, tandis que le monitoring du rythme cardiaque fœtal se généralise dans les années 1960–1970. Les instruments chirurgicaux modernes rendent également la césarienne beaucoup plus sûre qu’auparavant.

Key medical techniques and anesthesia greatly improved maternal comfort and safety. Ether anesthesia was first used in surgery in 1846, followed by chloroform in 1847, both soon applied to childbirth. The development of epidural anesthesia, first successfully used for labor pain in the 1940s, marked a major breakthrough in obstetric analgesia. Improvements in surgical techniques, blood transfusion (early 20th century), and sterile operating environments drastically reduced mortality associated with complicated deliveries.
Les grandes techniques médicales et anesthésiques améliorent considérablement le confort et la sécurité des femmes. L’éther est utilisé pour la première fois comme anesthésique en 1846, suivi du chloroforme en 1847, rapidement appliqués à l’accouchement. L’anesthésie péridurale, utilisée avec succès à partir des années 1940, constitue une avancée majeure dans la prise en charge de la douleur. Les progrès de la chirurgie, des transfusions sanguines (début du XXᵉ siècle) et de l’asepsie réduisent fortement la mortalité liée aux accouchements compliqués.

Important medications also transformed obstetrics. Antiseptics, promoted from the 1860s, reduced puerperal infections, while antibiotics such as penicillin (introduced in the 1940s) further decreased maternal deaths. Oxytocin, synthesized in 1953, allowed better control of labor by stimulating uterine contractions. Advances in prenatal care include vitamin supplementation (notably folic acid, recognized in the late 20th century for preventing neural tube defects) and medications to manage hypertension, diabetes, and preterm labor. Together, these instruments, tools, and drugs laid the foundation of modern obstetrics.
Les médicaments jouent enfin un rôle central dans l’obstétrique moderne. L’introduction des antiseptiques à partir des années 1860 diminue les infections puerpérales, puis les antibiotiques comme la pénicilline, dans les années 1940, réduisent encore la mortalité maternelle. L’ocytocine, synthétisée en 1953, permet de stimuler ou de réguler le travail. Le suivi de grossesse bénéficie aussi de la supplémentation vitaminique (notamment l’acide folique, reconnu à la fin du XXᵉ siècle pour prévenir certaines malformations) et de traitements contre l’hypertension, le diabète ou la prématurité. L’ensemble de ces outils et médicaments fonde l’obstétrique contemporaine.
Complications during pregnancy and childbirth
Complications during pregnancy can affect the health of the mother, the fetus, or both. Among the most common are gestational hypertension and preeclampsia, which may lead to serious outcomes such as seizures, organ failure, and fetal growth restriction. Gestational diabetes increases the risk of macrosomia (an excessively large baby) and delivery complications. Other problems include infections, anemia, placental bleeding disorders (placenta previa, placental abruption), and threats of preterm labor, all of which can compromise fetal development.
Les complications pendant la grossesse peuvent affecter la santé de la mère, du fœtus ou des deux. Parmi les plus fréquentes figurent l’hypertension gravidique et la prééclampsie, qui peuvent entraîner des atteintes graves (convulsions, défaillance d’organes, retard de croissance fœtale). Le diabète gestationnel augmente le risque de macrosomie (bébé trop gros) et de complications à l’accouchement. D’autres problèmes incluent les infections, l’anémie, les hémorragies liées au placenta (placenta prævia, décollement placentaire) et les menaces d’accouchement prématuré, pouvant compromettre le développement du fœtus.

Complications during labor and birth mainly involve difficulties in the progress of labor and delivery. Prolonged or obstructed labor may occur when the maternal pelvis is too narrow or when the fetus is in an unfavorable position, such as breech or transverse presentation. Acute fetal distress, detected through abnormal heart rate patterns, may require instrumental delivery or an emergency cesarean section. Shoulder dystocia, although rare, is a serious obstetric emergency that can result in neonatal injury if not managed promptly.
Les complications au moment de la naissance concernent principalement le déroulement du travail et de l’accouchement. Le travail prolongé ou obstrué peut survenir lorsque le bassin maternel est trop étroit ou lorsque la position du fœtus est défavorable (siège, transverse). La souffrance fœtale aiguë, détectée par des anomalies du rythme cardiaque, nécessite parfois une extraction instrumentale ou une césarienne en urgence. Les dystocies des épaules, bien que rares, constituent une urgence obstétricale pouvant entraîner des lésions chez le nouveau-né si elles ne sont pas rapidement prises en charge.

After birth, postpartum complications may still arise. The most severe is postpartum hemorrhage, which remains one of the leading causes of maternal mortality worldwide and is often due to inadequate uterine contraction. Puerperal infections, blood clots, and psychological conditions such as postpartum depression or, more rarely, postpartum psychosis can also affect the mother. In newborns, prematurity, respiratory distress, and neonatal infections may require specialized care. With early detection and appropriate medical follow-up, most of these complications can now be effectively prevented or treated.
Après la naissance, des complications du post-partum peuvent encore survenir. La plus grave est l’hémorragie du post-partum, principale cause de mortalité maternelle dans le monde, souvent liée à une mauvaise contraction de l’utérus. Les infections puerpérales, les thromboses, ainsi que les troubles psychiques comme la dépression du post-partum ou, plus rarement, la psychose puerpérale, peuvent également affecter la mère. Chez le nouveau-né, la prématurité, la détresse respiratoire ou les infections néonatales nécessitent parfois une prise en charge spécialisée. L’identification précoce et le suivi médical permettent aujourd’hui de prévenir ou de traiter efficacement la majorité de ces complications.
Labor
During childbirth, the medical team continuously evaluates the situation to determine the safest mode of delivery for both the mother and the baby. A vaginal (normal) delivery is generally preferred when pregnancy has progressed without major complications and labor evolves normally. It relies on physiological uterine contractions, maternal pushing, and close monitoring of the baby’s heart rate and the mother’s condition. If difficulties arise — such as prolonged labor or fetal distress — assisted vaginal delivery using instruments like forceps or vacuum extraction may be considered to help the baby be born safely while avoiding major surgery.
Lors de l’accouchement, l’équipe médicale évalue en permanence la situation afin de déterminer le mode de naissance le plus sûr pour la mère et l’enfant. L’accouchement par voie basse (dit normal) est privilégié lorsque la grossesse s’est déroulée sans complication majeure et que le travail progresse correctement. Il repose sur les contractions utérines, la participation active de la mère et une surveillance étroite du rythme cardiaque fœtal et de l’état maternel. En cas de difficulté, comme un travail trop long ou des signes de souffrance fœtale, un accouchement vaginal assisté (forceps ou ventouse) peut être proposé afin de faciliter la naissance tout en évitant une chirurgie lourde.

A cesarean section is chosen when vaginal delivery would pose significant risks to the mother, the baby, or both. This may occur in situations such as abnormal fetal position (breech or transverse), placenta-related complications, severe maternal conditions, or acute fetal distress. The procedure involves surgically delivering the baby through an incision in the abdomen and uterus, under regional or general anesthesia. While cesarean delivery is a major surgical intervention, advances in anesthesia, surgical techniques, and postoperative care have made it a safe and lifesaving option. The choice of delivery method is always individualized, based on medical indications, clinical judgment, and, whenever possible, informed discussion with the parents.
La césarienne est indiquée lorsque l’accouchement par voie basse présente un risque important pour la mère ou le bébé. Elle peut être nécessaire en cas de mauvaise position du fœtus (siège, transverse), de complications placentaires, de pathologies maternelles sévères ou de détresse fœtale aiguë. Cette intervention consiste à extraire le bébé par une incision de l’abdomen et de l’utérus, sous anesthésie loco-régionale ou générale. Bien qu’il s’agisse d’une chirurgie majeure, les progrès médicaux ont rendu la césarienne beaucoup plus sûre et souvent salvatrice. Le choix du mode d’accouchement repose toujours sur une évaluation médicale individualisée et, autant que possible, sur une décision éclairée partagée avec les parents.
Neonatology
Neonatal emergency care focuses on the immediate stabilization of the newborn during the first minutes and hours of life. When a baby shows signs of distress — such as difficulty breathing, poor muscle tone, or a low heart rate — neonatal resuscitation may be required. This includes warming the infant, clearing the airways, providing ventilation with a mask or bag, administering oxygen, and, in severe cases, chest compressions or medications. Premature or critically ill newborns are often transferred to a Neonatal Intensive Care Unit (NICU), where they receive continuous monitoring, respiratory support, intravenous fluids, and treatment for infections or metabolic disorders.
Les soins néonatals d’urgence visent à assurer la stabilisation immédiate du nouveau-né dans les premières minutes et heures suivant la naissance. Lorsqu’un bébé présente des signes de détresse — comme des difficultés respiratoires, une hypotonie ou une fréquence cardiaque basse — une réanimation néonatale peut être nécessaire. Celle-ci comprend le maintien de la chaleur, le dégagement des voies aériennes, l’assistance ventilatoire, l’apport d’oxygène et, dans les cas graves, des compressions thoraciques ou des médicaments. Les nouveau-nés prématurés ou gravement malades sont pris en charge en unité de soins intensifs néonatals, où ils bénéficient d’une surveillance continue, d’un soutien respiratoire, de perfusions et de traitements adaptés aux infections ou aux troubles métaboliques.
Life goes on
The first year of a child’s life is a period of rapid growth and profound adaptation, both for the infant and for the parents. During these months, the baby develops basic motor skills, sensory awareness, emotional responses, and early forms of communication, while gradually adapting to feeding, sleep, and interaction with the surrounding environment. This phase also represents a major transition for the mother, whose body and emotional state continue to recover and adjust after pregnancy and birth, often requiring physical rest, medical follow-up, and psychological support. The father, or second parent, plays an essential role as well, by supporting the mother, building a bond with the child, and contributing to the stability and security of the family environment. Together, the parents create the conditions necessary for the child’s healthy physical, emotional, and social development.
La première année de vie d’un enfant est une période de croissance rapide et d’adaptation profonde, tant pour le nourrisson que pour les parents. Durant ces mois, le bébé acquiert progressivement des compétences motrices de base, développe ses capacités sensorielles, émotionnelles et relationnelles, et s’adapte à l’alimentation, au sommeil et aux interactions avec son environnement. Cette étape constitue également une transition majeure pour la mère, dont le corps et l’équilibre émotionnel continuent d’évoluer après la grossesse et l’accouchement, nécessitant souvent repos, suivi médical et soutien psychologique. Le père, ou le second parent, joue lui aussi un rôle essentiel, en soutenant la mère, en tissant un lien avec l’enfant et en participant activement à la construction d’un cadre familial sécurisant. Ensemble, les parents posent les bases du développement physique, affectif et social de l’enfant.

Conclusions
Through this article, we have explored nearly all steps regarding pregnancy, obstetrics and neonatal cares. This long journey was the opportunity to remind of all the required efforts from everyone involved to sustain life of both mothers and their babies. A great opportunity to remind of the massive success achieved in these critical medical fields to care for life, and the future of it.
À travers cet article, nous avons exploré presque toutes les étapes relatives à la grossesse, à l’obstétrique et aux soins néonatals. Ce long parcours a été l’occasion de rappeler tous les efforts nécessaires de la part de toutes les personnes impliquées pour préserver la vie des mères et de leurs bébés. Une excellente occasion de rappeler les progrès considérables réalisés dans ces domaines médicaux essentiels pour prendre soin de la vie et de son avenir.
Les cadres théoriques mobilisés incluent la psychanalyse classique (Sigmund Freud), les analyses critiques de la sexualité et du pouvoir (Michel Foucault), la théorie du genre (Simone de Beauvoir), la sociologie de la stigmatisation (Erving Goffman), ainsi que les études empiriques fondatrices sur les comportements sexuels (rapports Kinsey). Les sources publiques et institutionnelles comprennent les cadres de l’Organisation mondiale de la santé (OMS) en santé sexuelle et reproductive, grossesse et accouchement, les recommandations de l’UNESCO sur l’éducation complète à la sexualité, les rapports de l’UNFPA sur les droits reproductifs, les textes du Conseil de l’Europe sur l’intégrité corporelle et le consentement, ainsi que les lignes directrices cliniques internationales sur l’intersexuation/DSD (Consensus de Chicago, ESPE), les troubles sexuels (EAU, ISSM, DSM-5-TR), et l’obstétrique et la néonatologie (FIGO).
- Sigmund Freud — Three Essays on the Theory of Sexuality; Civilization and Its Discontents
- Michel Foucault — Histoire de la sexualité, vol. I; Surveiller et punir
- Simone de Beauvoir — Le Deuxième Sexe
- Erving Goffman — Stigma: Notes on the Management of Spoiled Identity
- Alfred C. Kinsey et al. — Sexual Behavior in the Human Male / Female
- World Health Organization (WHO) — Defining Sexual Health; Sexual and Reproductive Health and Rights Framework; Recommendations on Antenatal and Intrapartum Care
- UNESCO — International Technical Guidance on Sexuality Education
- UNFPA — State of World Population Reports; My Body Is My Own
- Council of Europe — Human Rights and Intersex People
- Chicago Consensus Group — Consensus Statement on Management of Intersex Disorders
- European Society for Paediatric Endocrinology (ESPE) — Clinical Guidelines for DSD
- European Association of Urology (EAU) — Guidelines on Sexual and Reproductive Health
- International Society for Sexual Medicine (ISSM) — Clinical Practice Guidelines
- American Psychiatric Association — DSM-5-TR: Sexual Dysfunctions
- International Federation of Gynecology and Obstetrics (FIGO) — Guidelines on Pregnancy, Childbirth and Neonatal Care

Laisser un commentaire